tags:
- type/patient/medical_document
- media/image
- media/audio
- category/imaging
docid: 100-1-2
name: mdoc100-1-2
counter: 2
patient: pat100
patient_link: "[[pat100.patient]]"
clinical_case_link: "[[cc100-1.clincase]]"
created_at: 2024-08-13T22:35:16+03:00
updated_at: 2025-09-03T14:29:36+03:00
cssclasses:
- list-cards
- cards-cols-2
banner: "![[_System/Banners/patient_medical_doc_900x400.jpg]]"
media_counter: 3
media1:
mm_name: Transcription of the history of the present illness.
mm_filename: mm100-1-2-1.mp3
mm_date: 2024-08-13
mm_details: The initial symptoms appeared approximately ten years ago with occasional dyspnea and mild cough. The patient reported that the symptoms gradually worsened, especially in the morning hours and during exercise. During the last six months, the dyspnea became more intense and was accompanied by a productive cough with yellow sputum
media2:
mm_name: MRI εγκεφάλου
mm_filename: mm100-1-2-2.png
mm_date: 2024-08-13
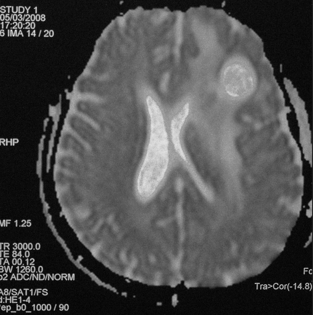
mm_details: At the center of the image, we can see the brain ventricles as brighter areas in a butterfly shape. Around them, the structure of the brain tissue is distinguished with various shades of gray.
media3:
mm_name: Computed Tomography (CT scan)
mm_filename: mm100-1-2-3.jpeg
mm_date: 2024-08-13
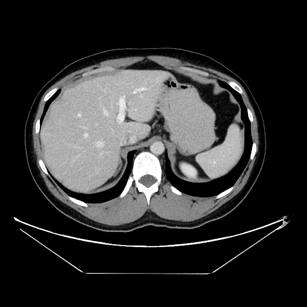
mm_details: This type of imaging is frequently used for the diagnosis of various pathologies of the abdominal organs, such as tumors, cysts, or other abnormalities.mdoc100-1-2.document

tags:
- type/patient/medical_document
- media/image
- media/audio
- category/imaging
docid: 100-1-2
name: mdoc100-1-2
counter: 2
patient: pat100
patient_link: "[[pat100.patient]]"
clinical_case_link: "[[cc100-1.clincase]]"
created_at: 2024-08-13T22:35:16+03:00
updated_at: 2025-09-03T14:29:36+03:00
cssclasses:
- list-cards
- cards-cols-2
banner: "![[_System/Banners/patient_medical_doc_900x400.jpg]]"
media_counter: 3
media1:
mm_name: Transcription of the history of the present illness.
mm_filename: mm100-1-2-1.mp3
mm_date: 2024-08-13
mm_details: The initial symptoms appeared approximately ten years ago with occasional dyspnea and mild cough. The patient reported that the symptoms gradually worsened, especially in the morning hours and during exercise. During the last six months, the dyspnea became more intense and was accompanied by a productive cough with yellow sputum
media2:
mm_name: MRI εγκεφάλου
mm_filename: mm100-1-2-2.png
mm_date: 2024-08-13
mm_details: At the center of the image, we can see the brain ventricles as brighter areas in a butterfly shape. Around them, the structure of the brain tissue is distinguished with various shades of gray.
media3:
mm_name: Computed Tomography (CT scan)
mm_filename: mm100-1-2-3.jpeg
mm_date: 2024-08-13
mm_details: This type of imaging is frequently used for the diagnosis of various pathologies of the abdominal organs, such as tumors, cysts, or other abnormalities.PAPADOPOYLOS NICKOLAOS (NICK) < Age 47 > 12/3/1978
MEDICAL DOCUMENTS - Patient Record Summary
Media Files Types
TEXT
IMAGE
VIDEO
AUDIO
Category of Medical Procedures/Documents
IMAGING 【CT ⋅ MRI ⋅ PET ...】
LAB【BIOCHEMICAL ⋅ MICROBIOLOGICAL ⋅ HEMATOLOGICAL ⋅ HISTOPATHOLOGICAL ...】
PROCEDURES 【SURGICAL ⋅ INTERVENTIONAL ⋅ ENDOSCOPIC ...】
OTHER DOCUMENTS 【MEDICAL OPINION ⋅ DISCHARGE SUMMARY ...】
Multimedia Cards
-
- mm100-1-2-1.mp3
-
mm100-1-2-2.png
-
mm100-1-2-3.jpeg
Interactive Graph