tags:
- type/patient/medical_document
- media/image
- category/labs
- category/imaging
- category/other
- media/document
docid: 103-1-1
name: mdoc103-1-1
counter: 1
patient: pat103
patient_link: "[[pat103.patient]]"
clinical_case_link: "[[cc103-1.clincase]]"
created_at: 2025-09-03T21:24:21+03:00
updated_at: 2025-09-03T21:24:21+03:00
cssclasses:
- list-cards
- cards-cols-2
banner: "![[_System/Banners/patient_medical_doc_900x400.jpg]]"
media_counter: 3
media1:
mm_name: chest x-ray Evelin Neville
mm_filename: mm103-1-1-1.png
mm_date: 2024-07-14
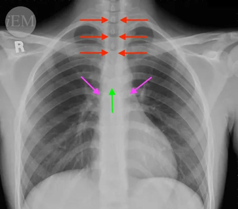
mm_details: Nothing unusual could be observed
media2:
mm_name: labs-Evelin Neville
mm_filename: mm103-1-1-2.png
mm_date: 2025-09-03
mm_details: ""
media3:
mm_name: referral presentation for Evelin Neville
mm_filename: mm103-1-1-3.ppt
mm_date: 2025-09-03
mm_details: ""mdoc103-1-1.document

tags:
- type/patient/medical_document
- media/image
- category/labs
- category/imaging
- category/other
- media/document
docid: 103-1-1
name: mdoc103-1-1
counter: 1
patient: pat103
patient_link: "[[pat103.patient]]"
clinical_case_link: "[[cc103-1.clincase]]"
created_at: 2025-09-03T21:24:21+03:00
updated_at: 2025-09-03T21:24:21+03:00
cssclasses:
- list-cards
- cards-cols-2
banner: "![[_System/Banners/patient_medical_doc_900x400.jpg]]"
media_counter: 3
media1:
mm_name: chest x-ray Evelin Neville
mm_filename: mm103-1-1-1.png
mm_date: 2024-07-14
mm_details: Nothing unusual could be observed
media2:
mm_name: labs-Evelin Neville
mm_filename: mm103-1-1-2.png
mm_date: 2025-09-03
mm_details: ""
media3:
mm_name: referral presentation for Evelin Neville
mm_filename: mm103-1-1-3.ppt
mm_date: 2025-09-03
mm_details: ""NEVILLE EVELIN (EVE) < Age 27 > 16/5/1998
MEDICAL DOCUMENTS - Patient Record Summary
Media Files Types
TEXT
IMAGE
VIDEO
AUDIO
Category of Medical Procedures/Documents
IMAGING 【CT ⋅ MRI ⋅ PET ...】
LAB【BIOCHEMICAL ⋅ MICROBIOLOGICAL ⋅ HEMATOLOGICAL ⋅ HISTOPATHOLOGICAL ...】
PROCEDURES 【SURGICAL ⋅ INTERVENTIONAL ⋅ ENDOSCOPIC ...】
OTHER DOCUMENTS 【MEDICAL OPINION ⋅ DISCHARGE SUMMARY ...】
Multimedia Cards
-
mm103-1-1-1.png
-
mm103-1-1-2.png
-
- mm103-1-1-3.pptmm103-1-1-3.ppt
Interactive Graph